随着体检胸部CT的普及,越来越多的无症状肺结节被发现,现在有很多人谈“肺结节”色变,其实不用那么紧张,体检发现的肺结节大部分都是良性的。2011年8月4日,《新英格兰杂志》发表了一个非常重要的临床随机研究结果。研究的题目是“低剂量CT筛查肺癌降低肺癌的死亡率”。这个研究是由美国癌症研究所、国家肺癌筛查研究小组来执行的。这个肺癌筛查随机研究共有53454例高危患者纳入研究范围,患者被随机分为两组:每年接受低剂量CT检查或者常规胸透。研究结果如下:低剂量CT筛查组肺癌的阳性率在3年内是24.2%,而胸透组3年阳性率仅为6.9%。但是有意思的是,在这些显示阳性的病例中,低剂量CT组有96.4%是假阳性。这个结果告诉我们,体检发现的肺结节大概只有3.6%是肺癌。除了肺癌,肺结节还常见于下列疾病:
(1)肿瘤性:转移瘤、原发肺淋巴瘤、不典型腺瘤样增生(AAH)、错构瘤、硬化性血管瘤、结缔组织和神经肿瘤,包括脂肪瘤、纤维瘤、软骨瘤、神经纤维瘤、肉瘤等。
(2)感染性:肉芽肿、结核、组织胞浆菌、隐球菌、酵母菌、球孢子菌、球形肺炎、肺脓肿、包囊虫病等。
(3)非感染性:类风湿性关节炎、肉芽肿性多血管炎、淋巴瘤样肉芽肿、结节病、类脂性肺炎、白塞氏病等。
(4)先天性:动静脉畸形、肺隔离症、肺囊肿、支气管闭锁并黏液嵌塞。
(5)其他:机化性肺炎、肺梗死、球形肺不张、肺内淋巴结、局灶性出血。

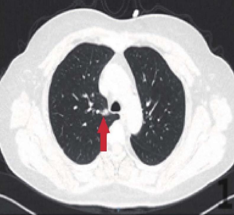
a.右肺部分实性结节

b.抗感染治疗后完全吸收

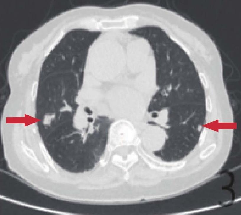
c.肾癌术后肺转移