随着诊疗技术的提高,低剂量、高分辨率螺旋CT、PET-CT等技术的出现,早期肺癌的诊断率得到极大提高,肺部肿瘤常以肺部结节的形式早期被影像学检查发现。近年来,越来越多的人群被发现患有肺小结节,其中不少患者肺部存在两个甚至多个肺小结节。
如果在医生建议的随诊观察期间,发现其中一个小结节增大,那么该肺小结节恶性可能性较大,建议针对该结节进行活检或外科手术治疗进行干预。其实不仅肺小结节体积增大值得患者密切关注,肺小结节出现以下情况也要注意存在恶性可能:结节虽然稳定但密度增高;结节稳定但出现实性成分;结节缩小但病灶内实性成分增大;结节出现其他形态学的恶性征象。出现这些征象时可考虑进行活检或外科手术治疗。对于未增大的小结节可独立评价,可以选择继续观察;如果未增大的肺小结节与增大的肺小结节在肺同一肺段或肺叶,或位于肺外周部位,在对增大的小结节进行手术治疗的同时也可以选择同时手术切除。

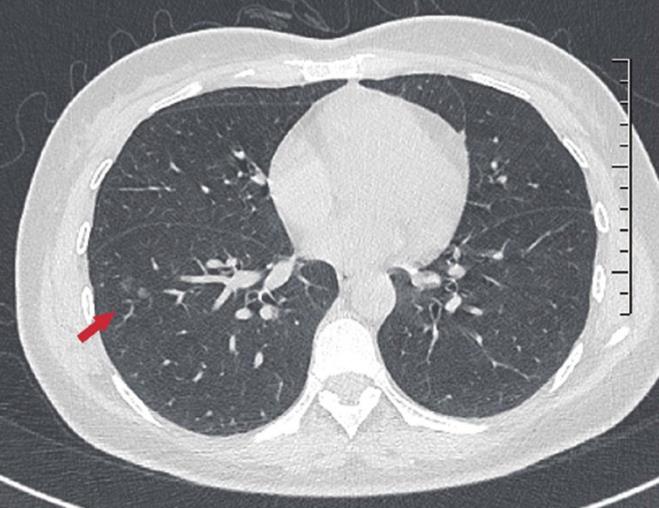
a.两肺见数个小结节

b.数个小结节有一个增大